Web Analytics Made Easy - Statcounter
canine distemper raccoon Canine distemper affects the ames raccoon population – iowa state daily

canine distemper raccoon Canine distemper affects the ames raccoon population – iowa state daily

Distemper canine virus stomach inclusions eosinophilic racoons nuclei cytoplasm mucosal epithelium blue black pathology veterinary

If you are searching about Canine distemper affects the Ames raccoon population – Iowa State Daily you've visit to the right place. We have 35 Pictures about Canine distemper affects the Ames raccoon population – Iowa State Daily like Distemper In Raccoons: Recognize These 5 Key Symptoms, Parks Department Warns Of Raccoon Distemper in Prospect Park - Bklyner and also Canine Distemper Virus in 2 Racoons | veterinary pathology. Here you go:

Canine Distemper Affects The Ames Raccoon Population – Iowa State Daily

Canine distemper affects the Ames raccoon population – Iowa State Daily iowastatedaily.com

Parks Department Warns Of Raccoon Distemper In Prospect Park - Bklyner

Parks Department Warns Of Raccoon Distemper in Prospect Park - Bklyner bklyner.com

raccoon prospect distemper szop oczy parks department raccoons warns bklyner słaba

Central Park Raccoon Distemper Deaths Climb; Did They Get It From

Central Park Raccoon Distemper Deaths Climb; Did They Get it from www.westsiderag.com

raccoon distemper central park climb deaths unvaccinated dogs did they get believe increasing raccoons particular canine reason contracting number there

'Zombie Raccoons' Infected With Distemper Reported In Ohio - ABC30 Fresno

'Zombie raccoons' infected with distemper reported in Ohio - ABC30 Fresno abc30.com

Can A Dog Get Distemper From A Raccoon

Can A Dog Get Distemper From A Raccoon animalia-life.club

Can Humans Get Sick From Canine Distemper

Can Humans Get Sick From Canine Distemper animalia-life.club

DNR Finds Canine Distemper In Raccoons In The Central Upper Peninsula

DNR Finds Canine Distemper in Raccoons in the Central Upper Peninsula www.removemypests.com

raccoon raccoons distemper upper removal

Distemper In Raccoons: Recognize These 5 Key Symptoms

Distemper In Raccoons: Recognize These 5 Key Symptoms wildlifestart.com

'Zombie Raccoons' Infected With Distemper Reported Across The U.S

'Zombie raccoons' infected with distemper reported across the U.S abc7ny.com

Spot A Sick Raccoon? Stay Away And Call Animal Control! - Halton

Spot a Sick Raccoon? Stay Away and Call Animal Control! - Halton haltonwildlife.ca

raccoon distemper sick raccoons canine animal control call dog spot stay away symptoms morning infected chicago owners warned wttw dallas

Canine Distemper Outbreak Reported In Winnipeg, Headingley | ChrisD.ca

Canine Distemper Outbreak Reported in Winnipeg, Headingley | ChrisD.ca www.chrisd.ca

canine distemper outbreak winnipeg headingley raccoon reported chrisd ca 2012

Distemper In Raccoon - Symptoms And Treatment. - Pest & Animal Removal

Distemper in Raccoon - Symptoms and Treatment. - Pest & Animal Removal thecritterguy.ca

Canine Distemper Epidemic Killing Raccoons In New Jersey, Wildlife

Canine distemper epidemic killing raccoons in New Jersey, wildlife abc7ny.com

raccoons raleigh rabid warn

LA County Department Of Public Health - Veterinary - Distemper In

LA County Department of Public Health - Veterinary - Distemper in admin.publichealth.lacounty.gov

distemper raccoon raccoons lacounty publichealth vet gov

Central Park Raccoons Dying From 'Canine Distemper' Virus

Central Park Raccoons Dying from 'Canine Distemper' Virus www.westsiderag.com

central park raccoons canine distemper dying virus raccoon

Canine Distemper | ᐯeterinary ᗰedicine Amino

Canine Distemper | ᐯeterinary ᗰedicine Amino aminoapps.com

Can A Dog Get Distemper From A Raccoon

Can A Dog Get Distemper From A Raccoon animalia-life.club

Raccoon Distemper At All-time High In Nassau County According To Local

Raccoon distemper at all-time high in Nassau County according to local www.liherald.com

Toronto Sees Increase In Raccoons Infected With Canine Distemper Virus

Toronto Sees Increase in Raccoons Infected with Canine Distemper Virus www.greenleafpestcontrol.com

distemper raccoons virus canine sees toronto increase infected have accustomed canadians understandably reluctant environment become sharing while many city their

Local Pet Owners Warned Over Raccoons Carrying Canine Distemper – Brick

Local Pet Owners Warned Over Raccoons Carrying Canine Distemper – Brick brick.shorebeat.com

raccoon raccoons refuge canine distemper warned carrying shorebeat

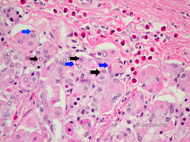
Canine Distemper Virus In 2 Racoons | Veterinary Pathology

Canine Distemper Virus in 2 Racoons | veterinary pathology vetpath.wordpress.com

distemper canine virus stomach inclusions eosinophilic racoons nuclei cytoplasm mucosal epithelium blue black pathology veterinary

Signs Of Distemper In Raccoons | Animals - Mom.me

Signs of Distemper in Raccoons | Animals - mom.me www.cuteness.com

raccoon raccoons distemper louisville removal signs

Raccoon Unrest: Orange Beach Officials Warn Public About Raccoon

Raccoon unrest: Orange Beach officials warn public about raccoon www.al.com

raccoon orange beach distemper unrest warn officials public al canine lily confirmed cases raccoons canva jackson there some

Canine Distemper Preventions & Signs TexVetPets

Canine Distemper Preventions & Signs TexVetPets www.texvetpets.org

distemper dog canine problems health dogs common most top signs

Canine Distemper Virus In 2 Racoons | Veterinary Pathology

Canine Distemper Virus in 2 Racoons | veterinary pathology vetpath.wordpress.com

distemper canine astrocyte inclusions racoons veterinary

Canine Distemper: An Overview For Dog Owners · The Wildest

Canine Distemper: An Overview for Dog Owners · The Wildest www.thewildest.com

Canine Distemper

Canine Distemper www.infodogs.co.uk

distemper canine

Distemper - Wildlife Diseases - Wildlife Busters

Distemper - Wildlife Diseases - Wildlife Busters wildlifebusters.com

distemper raccoons raccoon baby facts 2009 diseases wildlife veterinary health public 2010 other

Canine Distemper Virus: Outbreak In Kingston. - Healthy Wildlife

Canine Distemper Virus: Outbreak in Kingston. - Healthy Wildlife healthywildlife.ca

Distribution Of Canine Distemper Virus (CDV) In Raccoon Skin And

Distribution of canine distemper virus (CDV) in raccoon skin and www.researchgate.net

Canine Distemper Virus Confirmed In Ross Township Raccoons

Canine distemper virus confirmed in Ross Township raccoons www.wtae.com

raccoon raccoons

LA County Department Of Public Health - Veterinary - Distemper In

LA County Department of Public Health - Veterinary - Distemper in admin.publichealth.lacounty.gov

distemper raccoons raccoon

Distemper In Raccoon - Symptoms And Treatment. - Pest & Animal Removal

Distemper in Raccoon - Symptoms and Treatment. - Pest & Animal Removal thecritterguy.ca

Canine Distemper: What Is It And What To Watch Out For - Wildlife

Canine Distemper: What is it and What to Watch Out For - Wildlife kywildliferemovalpros.com

Canine Distemper Confirmed In Larimer County Raccoons

Canine Distemper Confirmed in Larimer County Raccoons retro1025.com

Canine distemper virus in 2 racoons. Toronto sees increase in raccoons infected with canine distemper virus. Parks department warns of raccoon distemper in prospect park